インプラントによる治療を扱っております
大学病院で学んだ豊富な知識と技術を生かし、患者様に安心安全な治療をお届けします
事前説明はもちろんアフターケアまでお任せください
当院では「Straumann(ストローマン)」のインプラント材料を使用しています
インプラント治療はすべて自費治療となります

歯のない部分に人工歯根を埋めて
天然歯に近い状態を再現する外科治療です
メリット
自分の歯と近い感覚で噛むことができる
周囲の健全歯を傷つけることがほとんどない
多くの欠損状態に対応できる
見た目が天然歯に近く綺麗
デメリット
費用が高い
手術が必要となるため、治療期間が長い
人工歯根を埋めるために顎の骨の量が必要となるため、場合によっては適応できないこともある
患者さんの全身状態によって適応できないこともある

口元が気になって人前で笑顔になれない方、見栄え良く仕上がるので自信を持って笑えるようになります
歯応えのあるものが好きなのに食べられない方、しっかりと噛むことができるのでお食事がより一層楽しくなります
会話が聞き取りにくいと言われたことのある方、しっかりと発音ができるようになるので会話がより一層楽しめるようになります
入れ歯の着脱が面倒な方、固定式なので着脱の煩わしさがなくなります
「インプラント治療は、みなさんを笑顔にする為の治療だと僕は思っています」歯科院長
インプラント以外にも歯のないところに、歯の代わりになるものを入れる治療はいくつかあります、メリット・デメリットありますので参考にしていただけたらと思います
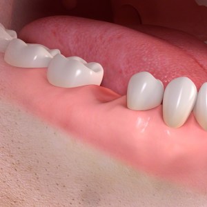
ブリッジ
失ってしまった歯の場所の前後の残っている歯を利用して歯のないところにダミーの歯を入れる被せ物
メリット
保険でも治療が行える(銀歯)
自費治療であれば天然歯のように見える
(材質はいくつかあります)
自分の歯で噛んでいるような感覚がある
比較的多くの症例に対応できる
固定式なので異物感をあまり感じない
治療期間が最も短い
デメリット
保険治療だと大きな銀歯になる為目立つ
自費治療だと費用がかかる
健全な歯を削る必要がある場合がある
食物が挟まりやすく、清掃が難しい
入れ歯

| 診察受付時間 | 月 | 火 | 水 | 木 | 金 | 土 | 日 |
| 9:30~12:30 | ◯ | ◯ | ◯ | 休診 | ◯ | ◯ | 休診 |
| 14:00~19:30 | ◯ | ◯ | ー | 休診 | ◯ | ◯ | 休診 |
| 14:00~16:30 | ー | ー | ◯ | ー | ー | ー | ー |
水曜日午後は診療時間に変更がありますのでご注意ください
休診日は、木曜日・日曜日・祝日となります
県央医科歯科クリニック





